놓치면 생명까지 위험한 뇌출혈 전조증상 총정리
어느 날 갑자기 시야가 흐릿해지고, 말이 꼬이고, 한쪽 팔다리에 힘이 빠진다면? 순간적인 증상이지만 ‘그냥 피곤해서 그런가?’ 하고 넘기기 쉬워요. 하지만 이런 증상, 뇌출혈의 전조증상일 수 있다는 사실 알고 계셨나요? 한순간의 방심이 평생을 바꿔놓을 수 있어요. 그래서 오늘은 뇌출혈의 초기 신호부터 응급 대처법, 예방을 위한 생활 습관까지 꼭 알아야 할 핵심 정보들을 정리해보았습니다. 지금부터 하나씩 확인해보세요.
뇌출혈이란 무엇인가요?

뇌출혈은 뇌혈관이 터지면서 뇌 안에 출혈이 발생하는 상태를 말해요. 고혈압, 외상, 혈관 기형 등이 주요 원인이며, 갑작스럽게 발생해 생명을 위협할 수 있어요. 혈액이 뇌조직에 직접 손상을 입히거나, 압력을 증가시켜 주변 뇌기능을 마비시키기도 하죠. 발생 부위에 따라 지주막하출혈, 뇌내출혈, 경막외·경막하출혈 등으로 나뉘어요.
뇌출혈 전조증상과 확인법
뇌출혈은 갑작스러운 증상으로 시작되지만, 몇 가지 신호를 미리 감지할 수 있어요. 특히 아래와 같은 전조증상이 있다면 주의가 필요합니다.
| 증상 | 특징 | 주의도 |
|---|---|---|
| 갑작스러운 두통 | 지금까지 느껴보지 못한 강도 | ★★★★★ |
| 언어 이상 | 말이 어눌하거나 이해 불가 | ★★★★☆ |
| 시야 흐림 | 한쪽 시야 사라짐, 복시 | ★★★☆☆ |
| 편측 마비 | 팔, 다리 힘 빠짐 | ★★★★★ |
위험인자와 고위험군

뇌출혈은 누구에게나 생길 수 있지만, 특히 아래에 해당하는 사람들은 더 높은 주의가 필요해요.
- 고혈압이 조절되지 않는 사람
- 당뇨, 고지혈증 등 대사질환 동반자
- 흡연, 과음 등 혈관 손상 요인에 노출된 사람
- 뇌혈관질환 가족력이 있는 경우
진단은 어떻게 이루어지나요?
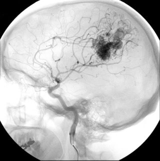
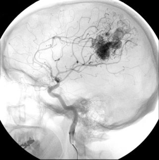
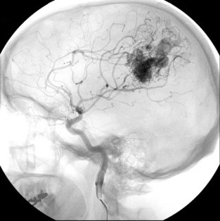
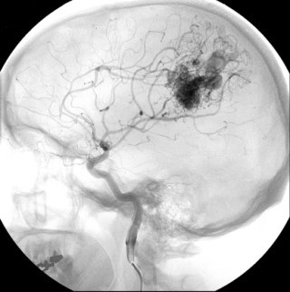
뇌출혈이 의심되면, 신속한 영상 검사가 필수예요. 비(非) 조영 CT 스캔이 가장 먼저 시행되며, 출혈 여부와 양을 확인할 수 있어요. 필요하다면 CT 혈관 촬영(CTA)이나 MRI, 뇌혈관 조영술 등을 추가해 출혈의 원인과 혈관 구조 이상 유무를 평가하죠. 또한, 혈액 검사로 응고 상태, 혈소판 수치, 항응고제 복용 여부 등을 확인해 치료 계획을 세우는데 중요한 참고 자료로 활용돼요.
응급처치와 치료 방법

뇌출혈은 응급상황으로 다뤄야 하며, 치료는 신속하고 체계적으로 이루어져야 해요. 우선 기도 확보, 혈압 조절, 뇌압 상승 억제 등 생명 유지 중심 치료가 먼저이고, 환자 상태에 따라 수술이나 시술이 고려돼요. 예를 들면, 후두부(소뇌) 출혈이 일정 크기 이상이거나 뇌간 압박 증거가 있는 경우는 외과적 제거나 감압술이 권고됩니다. 또한 급성기에는 혈압을 조절해 출혈 확대를 막는 것이 중요하며, 최근 가이드라인에서는 증상 발생 후 6시간 이내에 수축기 혈압을 140 mmHg 수준으로 낮추는 것이 안전하고 유리할 수 있다고 제시돼요. 치료 접근은 출혈의 위치, 양, 환자의 전신 상태 등을 종합해 결정돼요.
예방을 위한 생활 습관
뇌출혈 예방을 위해선 혈관 건강을 잘 관리하는 것이 핵심이에요. 아래는 생활 속에서 실천할 수 있는 예방 수칙들이에요:
- 고혈압을 철저히 관리하기 — 혈압이 뇌출혈 발생의 가장 강한 위험요인이에요.
- 금연 및 절주하기 — 흡연과 과음은 혈관 건강을 악화시킵니다.
- 콜레스테롤, 당, 비만 등 대사증후군 관리하기
- 항응고제나 항혈소판제를 복용하는 경우에는 반드시 의사 상담
- 규칙적인 운동과 균형 잡힌 식단 유지하기
뇌경색은 혈관이 막혀 뇌로 가는 혈류가 차단되는 것이고, 뇌출혈은 혈관이 터져 출혈이 발생하는 상태입니다.
뇌경색은 혈전 용해제를 사용할 수 있지만, 뇌출혈에서는 금기이기 때문에 정확한 진단이 반드시 필요합니다.
직접적인 백신이나 예방약은 없지만, 고혈압 관리가 최고의 예방법입니다.
또한 금연, 절주, 운동 같은 기본 생활 습관 관리가 중요해요.
모든 뇌출혈이 수술 대상은 아니며, 출혈 위치와 양에 따라 달라요.
하지만 대부분은 보존적 치료와 집중 감시로 회복이 가능합니다.
네, 일부 환자는 갑작스럽게 증상이 나타나기도 합니다.
특히 고혈압 환자는 증상이 없더라도 반드시 정기적인 진료와 복약이 중요합니다.
회복 기간은 개인차가 크고, 손상 부위와 크기에 따라 달라요.
물리치료, 언어치료, 작업치료 등 다학제적 재활치료가 회복에 큰 영향을 줍니다.
뇌출혈은 단 몇 초 만에 생명을 위협할 수 있는 무서운 질환이지만, 반대로 미리 위험 신호를 알고 생활 속에서 꾸준히 관리한다면 예방도 가능합니다. 증상이 애매하더라도 ‘혹시나’ 하는 마음으로 체크하고, 고혈압 등 주요 위험 인자는 꾸준히 조절하는 것이 중요해요. 이 글이 누군가에겐 생명을 지키는 계기가 되기를 바랍니다. 지금 내 몸의 작은 신호에 귀 기울여보세요.
비인두암 초기증상부터 치료까지, 놓치면 위험한 경고신호 총정리
비인두암 초기증상부터 치료까지, 놓치면 위험한 경고신호 총정리
비인두암 초기 증상부터 치료까지: 꼭 알아야 할 정보어느 날 갑자기 코막힘이 계속되고 귀가 멍한 느낌이 들기 시작했어요. 단순한 감기라고 생각했지만, 병원에서 들은 말은 충격적이었죠. 비
amerlenbach.com
글루콤 드링크 효능과 복용법|피로회복에 좋은 비타민 B 영양제
글루콤 드링크 효능과 복용법|피로회복에 좋은 비타민 B 영양제
글루콤 드링크제 효능 및 복용법|피로회복에 좋은 비타민 B 영양제하루가 너무 피곤하고, 아무리 쉬어도 개운하지 않다면? 그럴 때 간편하게 에너지 회복을 도와주는 드링크제 하나가 큰 힘이
amerlenbach.com
'건강' 카테고리의 다른 글
| 햄버거병 증상부터 예방법까지, 아이 건강 지키는 완벽 가이드 (0) | 2025.10.13 |
|---|---|
| 심근경색 전조증상 / 생명을 지키는 초기 신호 총정리 (0) | 2025.10.13 |
| 비인두암 초기증상부터 치료까지, 놓치면 위험한 경고신호 총정리 (0) | 2025.10.13 |
| 글루콤 드링크 효능과 복용법|피로회복에 좋은 비타민 B 영양제 (0) | 2025.10.02 |
| 당화혈색소 정상 수치와 관리법/ 혈당보다 중요한 이유 (0) | 2025.10.02 |