미니쉬 vs 라미네이트, 무엇이 내 치아에 더 좋을까? 비용·부작용·시술기간 비교
웃을 때 보이는 앞니가 유난히 신경 쓰이던 저는, 오랜 고민 끝에 심미 보철을 알아보기 시작했어요. 처음엔 라미네이트만 있는 줄 알았는데 ‘미니쉬’라는 생소한 시술도 눈에 들어오더라고요. 치아를 덜 깎고도 예쁜 치아를 만들 수 있다는 설명에 솔깃했지만, 과연 진짜 효과적일까 의심도 들었어요. 이 글에서는 미니쉬와 라미네이트의 차이점부터 비용, 부작용, 시술기간까지 전부 비교해 드릴게요.
목차
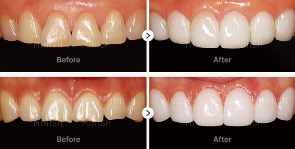
미니쉬 시술이란 무엇인가요?

미니쉬는 치아를 거의 깎지 않고, 접착형 세라믹 쉘을 덧붙이는 방식의 심미치료예요. 치아 본연의 구조를 최대한 보존하면서 미백, 형태 개선, 교합까지 함께 잡아주는 특징이 있죠. 특히 본인의 치아가 건강한 상태라면 라미네이트보다 더 보존적인 치료가 가능하다는 점에서 주목받고 있어요. 교합 분석, 3D 스캔, 디지털 제작 기술을 결합해 개개인에 맞는 맞춤 보철물을 제작하는 것도 미니쉬의 강점입니다.
미니쉬 vs 라미네이트 비교 분석
두 시술 모두 심미적인 목적을 위해 사용되지만, 접근 방식, 치아 보존, 기술력에서 큰 차이가 있어요. 특히 치아 삭제량과 교합 관리 능력에서 미니쉬가 상대적으로 우위라는 평가를 받고 있습니다.
| 구분 | 미니쉬 | 라미네이트 |
|---|---|---|
| 치아 삭제량 | 거의 없음 또는 최소화 | 치아 앞면을 0.3~0.5mm 이상 삭제 |
| 시술 방식 | 맞춤형 접착형 세라믹 + 교합 디자인 | 세라믹 쉘 부착 중심 |
| 기술 장비 | 3D 스캔, 디지털 교합 분석 | 기본 인상채득 |
| 심미성 | 자연광 반사 재현, 색감 다양 | 색감 제한적, 인위적 느낌 가능 |
| 가격대 | 다소 높음 | 상대적으로 저렴 |
각 시술의 부작용과 주의사항

아무리 간단한 시술이라도 부작용 가능성은 존재해요. 특히 치아 삭제가 필요한 라미네이트는 돌이킬 수 없는 손상으로 이어질 수 있다는 점에서 신중함이 필요하죠.
- 미니쉬: 접착 불량 시 이물감, 탈락 가능성 있음
- 미니쉬: 교합 조정 미흡 시 턱관절 부담
- 라미네이트: 치아 삭제로 영구적 손상 가능
- 라미네이트: 시림, 파절, 경계 부위 충치 우려
시술 소요 기간 및 회복 시간
두 시술 모두 비교적 단기간에 결과를 볼 수 있다는 공통점이 있어요. 하지만 정밀도와 맞춤 설계 측면에서 소요 시간은 약간 차이가 있어요. 보통 라미네이트는 평균 1~2주, 미니쉬는 2~3주 정도 걸리며, 미니쉬는 디지털 분석과 교합 조정 단계를 포함하기 때문에 시간이 조금 더 소요될 수 있어요.
| 항목 | 미니쉬 | 라미네이트 |
|---|---|---|
| 시술 소요 기간 | 약 2~3주 (2~3회 방문) | 약 1~2주 (2회 방문) |
| 회복 기간 | 즉시 일상 가능, 통증 적음 | 삭제 부위 시림, 1~2일 불편 |
| 맞춤 정밀도 | 디지털 교합 분석 기반 | 기본 인상채득 방식 |
비용 비교: 미니쉬 vs 라미네이트
두 시술 모두 비급여 항목으로 건강보험 적용은 되지 않아요. 일반적으로 라미네이트가 저렴하지만, 미니쉬는 기술력과 맞춤 설계가 들어가는 만큼 상대적으로 비용이 높아요. 아래는 평균적인 비용 비교예요.
| 항목 | 미니쉬 | 라미네이트 |
|---|---|---|
| 치아 1개 기준 | 90만 ~ 130만 원 | 30만 ~ 60만 원 |
| 전체 시술(앞니 8개 기준) | 700만 ~ 1,000만 원 | 300만 ~ 500만 원 |
| 정밀검사/교합 분석 포함 여부 | 포함(CT·3D 포함) | 불포함인 경우 많음 |
내게 맞는 선택은 무엇일까?

치아 상태, 예산, 원하는 결과에 따라 선택은 달라질 수 있어요. 다음 리스트를 참고해서 자신의 상황에 더 적합한 시술을 고려해보세요.
- 치아를 최대한 보존하고 싶은 경우: 미니쉬
- 비용이 중요하고 심미만 개선하고 싶다면: 라미네이트
- 턱관절, 교합까지 고려한 통합 치아 관리: 미니쉬
자주 묻는 질문 (FAQ)
심미 보철을 고민 중이라면, 미니쉬와 라미네이트 각각의 장단점을 이해하고 나에게 맞는 선택을 하는 것이 무엇보다 중요해요. 치아를 보존하고 싶다면 미니쉬, 빠르게 심미 효과를 원한다면 라미네이트가 맞을 수도 있어요. 단순한 ‘예쁜 치아’ 이상의 가치를 위해, 시술 전 반드시 전문 치과에서 정밀 검사를 받아보는 걸 추천드려요. 오늘의 정보가 여러분의 건강한 선택에 도움이 되길 바랍니다.
'건강' 카테고리의 다른 글
| 위고비(Wegovy) 가격·효과·부작용까지 한눈에! (2) | 2025.08.25 |
|---|---|
| 마운자로(Mounjaro) 가격부터 효과, 부작용까지 한눈에! 다이어트 주사 정리 (0) | 2025.08.25 |
| 말라리아 증상·예방접종·치료법 총정리 / 여행 전 꼭 알아야 할 생명 정보 (0) | 2025.08.24 |
| 맥시부펜 시럽 복용량. 복용법 완전정리 / 연령별 용량, 효과, 주의사항까지 (0) | 2025.08.23 |
| 신생아 딤플, 초음파부터 수술·보험까지 꼭 알아야 할 모든 것 (0) | 2025.08.23 |